女儿跟爸爸赴宴,结果差点丢了性命,妈妈:这样带孩子我无法原谅

06-07阅读:8303大字

收藏文章
陈先生以为女儿玩儿累了,也就没有管她,心想不妨让她睡一会儿,于是继续和朋友们吃吃喝喝。这种情况下,一般要进行开颅手术把淤血清理掉,而鉴于孩子年纪小,术中很容易出现低血压,另外稍不注意就会损伤到脑神经,这都是十…

原标题:女儿跟爸爸赴宴,结果差点丢了性命,妈妈:这样带孩子我无法原谅

常听到有人调侃“老爸带娃,稀里哗啦”,网上有不少老爸带娃的囧图,比如为了玩手机不惜把孩子用绳子捆起来等等。也有不少宝妈经历过一两次教训后发出呼喊:千万不要让孩儿他爹带娃。难道老爸看孩子果真就如此不靠谱吗?

“我后悔的不得了,太后悔了当时,感觉跟我老公肯定过不下去了。他没看好孩子,我肯定不会原谅他的。”

戴女士是一边抹着眼泪一边说出这些话的,在她看来,女儿之所以遭受到了这么大的痛苦,更悬的是还差点丢了性命,都是因为丈夫没有好好看护孩子。那在她女儿身上到底发生了什么事呢?这还要从一场宴席说起。

戴女士的丈夫姓陈,在江苏泰州做门窗生意,那天他和几个朋友约好一起聚餐。由于妻子戴女士还没下班,于是陈先生就带着6岁的女儿先去了。好友相见自然是分外热闹,陈先生一到场就打开了话匣子,和朋友们聊到一处,并推杯换盏起来。但这样的场景对于小孩子来说并不感兴趣,看到外面有其他几个小朋友在玩耍,于是女儿也跑出去和他们玩儿起来。

没过多久,女儿哭着跑了回来,嘴里喊着要找妈妈。陈先生的朋友把她抱在怀里哄,不一会儿孩子就迷迷糊糊地闭上了眼。陈先生以为女儿玩儿累了,也就没有管她,心想不妨让她睡一会儿,于是继续和朋友们吃吃喝喝。戴女士下班赶过来时,女儿还没睡醒。当妈妈把孩子抱过来的时候,女儿醒了一下,说了句头疼就又睡了过去。但戴女士检查了一下女儿的头部,并没有发现什么异常。

“起初我以为她在装病撒娇,如果是装的话,孩子的眼睛骗不了人,会有转动。但女儿的眼睛一点反应都没有,而且叫她也不理我。”

孩子继续沉沉睡去,凭着做妈妈的直觉,戴女士心里隐隐感觉不安。她提出带女儿先走,出门后径直去了医院。医生说他们给小孩检查的时候,心里也是咯噔一下,因为大部分孩子看到白大褂都会哭闹,不会十分配合检查,而她却乖乖地躺在那里,询问时反应还有些迟钝。医生怀疑是孩子的脑部出现了问题,建议做个CT检查一下。

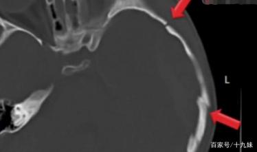
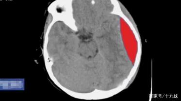
结果很快出来了,医生一看不得了,这个6岁的小女孩竟然出现了脑出血,长度约2cm,出血量约20ml,更为致命的是,小孩的颅骨还有两处裂痕。事不宜迟,医院赶紧联系医生和专家进行了会诊。

这种情况下,一般要进行开颅手术把淤血清理掉,而鉴于孩子年纪小,术中很容易出现低血压,另外稍不注意就会损伤到脑神经,这都是十分危险的。但如果不做手术的话,从孩子反应迟钝的表现来看,现在血液已经压迫到了脑神经。如果有继续出血的情况,那就很可能导致瘫痪、语言丧失,甚至危及生命。讨论的最后结果,医生觉得做开颅手术很有必要。

当医生给陈先生夫妇说明手术的风险和可能导致的后果时,夫妻俩脑子里早已是一片凌乱,他们谁也没想到事情会这么严重,心情忐忑地在《手术知情同意书》上签字。此时陈先生感到十分自责和惭愧,没有尽到监护责任。而此时他也深刻体会到女儿在自己生命中的地位,就像被拉掉一块东西,如果没有女儿,生活也就失去了任何意义。

好在手术进行得很顺利,第二天早上孩子清醒过来,语言和智力等都没有受到任何影响。根据孩子回忆,她在跟小朋友玩耍的时候,奔跑中摔了一跤,头磕到地上,没想到竟导致了这么严重的后果。

有网友说,其实这也怪不得父亲,6岁的孩子完全可以让她自己玩儿了,不需要大人时刻不离左右,这次只不过是一次意外,并非父亲监护失职。也有网友说,父亲的错不在于没有好好看护孩子,而在于当孩子出现异常后,没有及时发觉并引起警惕。不知道各位读者怎么看?不过一般情况下,尤其是在带孩子上,男人不如女人心思细腻缜密,这倒是一个不争的事实。

这件事也给各位家长提个醒,十九妹以前听老人说过,小孩子磕到脑袋后不要让他睡觉,要哄着玩儿一会儿再说,如今看来这样的经验并不是没有道理的。孩子被磕到后一般都会大哭不止,有的孩子哭着哭着就睡着了,如果是伤到了脑部,这一睡就是很耽误事的。要知道颅内出血很多时候从表面看不出异常,如果不及时就医就容易造成严重后果。

孩子活泼好动,头上磕个包是很常见的事情,很多家长都不以为意,常说揉揉就下去了。一般情况下,轻微磕碰会导致皮下组织出血红肿,也就是我们看到的包,这种确实没什么大碍。但如果磕碰造成了颅内出血,就潜伏着很大的危险,曾有家长不在意而致使孩子死亡的例子。因此,如果孩子磕碰后出现嗜睡、反应迟钝、发烧、呕吐等异常表现,家长万不可大意,一定要及时送医检查。

现在已经不是妻子只管相夫教子的时代了,女性也享有同等的工作权利,因此带孩子已经成为需要夫妻共同面对的任务,甚至还有不少全职奶爸。最后祝愿每个孩子都能健康快乐成长吧,您觉得老爸带孩子这事儿靠谱吗?

查看全文
热门内容