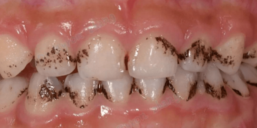
有位宝妈和我说,家里孩子牙齿上好多黑黑的脏东西,又不是蛀牙,小朋友牙齿上这些黑呼呼的东西其实是“色素”。儿童一般在2-6岁,牙齿就会开始有大量的软垢和色素。如果长期不管就容易变成蛀牙哦。

什么是色素?
宝宝牙齿上容易有食物残渣、色素在牙齿不光滑的凹槽处极易沉积,平时刷牙不能清洗干净这些残渣色素,长时间,牙齿上就会产生这些黑色(黄色)斑点,残留黑色素。
什么导致了色素沉积的产生?

如何去掉或避免这些黑色素呢?
儿童洗牙不要认为只有成人才可以洗牙,小孩子也是可以的哦。只不过儿童洗牙和成人洗牙的手法有所差异。2-6岁的儿童很少有牙结石,只是软垢和色素较多,牙医会用非常柔和的低速毛刷或抛光方式去除,过后还会使用牙线棒对孩子的每个牙缝做清洁。
对于孩子的牙齿健康,宝爸宝妈也不需要过度担忧,记得定期检查、早预防早治疗就可做到防患未然。很多门诊都有专门的儿牙医生,看牙很温柔,所以不必太过于担心了。
查看全文
