那个被吼后不说话的孩子,心里在想什么?

06-01阅读:2364大字

收藏文章
也就是说父母在骂孩子时,他们所遭受语言创伤和身体上的疼痛等级是如出一辙的。很多时候父母吼骂是为了宣泄自己内心的不安,的确也是担心孩子,但说出来的话不是爱,更是刀子,让孩子更受伤害。吼孩子,其实也是在告诉孩子如…

原标题:那个被吼后不说话的孩子,心里在想什么?

作者 | 小王不慌 樱桃

前不久,我到同事何姐家中做客。刚出电梯,我就听到了何姐数落儿子的声音。

“我不是让你在写作业吗?你怎么又在玩?”

“干个什么都拖拖拉拉,长大能有什么出息?”

何姐的儿子今年刚上一年级,她的“铁腕”政策我早有耳闻。

许多父母的教育理念也是如此,打着“我现在不数落你,将来打脸的就是社会”的名义,说着最伤人的话。

殊不知,说出去的是“刀子嘴”,扎进去的是孩子的“豆腐心”。

知名艺术家谢勇曾凭借《语言暴力》这组作品,成功获得第57届戛纳国际创意节银奖。

作品中,他把暴力语言最具代表性的词通过动画变换的形式演变成了刀子。

丢人,猪脑子,就知道吃,废物,怎么不去死……

每一句“刀子嘴”,都会变成扎向孩子的“凶器”。

作品的创作来源是几位少管所的问题少年。

在对他们进行心理干预治疗时,心理学家发现一个共同的特点:父母的恶语相向,是他们走向犯罪的帮凶。

刀子嘴是怎么影响一个孩子的?

哈佛医学院教授花了十几年研究父母吼骂孩子的后果。他们发现:

父母经常对孩子吼叫、斥责,会提高其体内的应激激素水平,从而导致大脑结构发生变化。也会导致海马体变小,影响记忆。

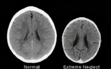
后来又有人找了两个3岁的孩子做了一次大脑扫描。

2个孩子同龄、同性别、家境也类似,唯一不同的是,一个孩子经常被夸,一个经常被骂。

结果,他们的大脑扫描图,竟出现天壤之别。

生理上的变化之外,密歇根大学也做过一组关于语言暴力的实验:

当人在遭受语言暴力时,其痛苦程度不亚于神经系统所能感知到的痛感。

也就是说父母在骂孩子时,他们所遭受语言创伤和身体上的疼痛等级是如出一辙的。

经常被吼被骂,真的会改变一个孩子。

前几天刷微博,一个热门话题格外引人注意:#有必要和父母分享自己的难过吗#?

评论区里,曾经不被理解的孩子,他们倾诉的满腹委屈溢出屏幕:

“分享难过变成批斗大会,太伤心了!”

“和同学吵架回家和我爸说,他说怪不得你和同学关系不好,你这个样子谁和你关系好?”

很多人童年都有这样的经历:明明错的不是我,父母为什么要来批评我?

很多时候父母吼骂是为了宣泄自己内心的不安,的确也是担心孩子,但说出来的话不是爱,更是刀子,让孩子更受伤害。

仙人掌的刺可以拔出,伤口也可以愈合。

但父母的冷嘲热讽是毒刺,它会深深扎进孩子的心,这样的伤口无法治愈,更无法抹平。

经常被吼的孩子,生理和心理都会发生巨大变化。

上一年级的儿子前几天要入少先队,学校的规则是从班级上得到小红花前20名的孩子中选10个,儿子入了选。

由于是第一批入少先队,学校给孩子们准备了一些题,全答对的学生可以首批入队。

儿子对这件事很是上心,题目背得很快,可偏偏卡在了系红领巾上。

眼看到了到了临选的前一天,老公看着儿子笨拙的样子,开始讽刺:“你这样,就别学了,学也学不会!”

儿子听到爸爸这样说,所幸干脆放弃。

原本的用意是要鼓励孩子,没想到话到嘴边,却说出了“反话”。

有人对中国式父母的相处模式做了总结:缺乏沟通,不善表达,羞于说爱。

沟通的蓝图没有勾勒,表达的根基不够牢固,那句该说出的爱不说出口,孩子内心的大楼便随时会坍塌。

在电影《你是好孩子》中,彩音常常被妈妈吼骂,她活得小心翼翼,拼命讨好妈妈。

她喜欢哼歌,但只动嘴不敢真的唱出声音来; 明明是别人抢夺了婴儿车,她却没有勇气为自己辩驳; 她会因为打破一只碗恐惧,因为稍有差池就会遭来劈头盖脸的怒斥。

当父母吼骂他们的时候,他们会想是不是自己做错了,是不是自己不够好,所以才会被骂。

这样的孩子在父母面前不敢发声,不敢表达自己的想法和需求,以至于他们在外面依然如此。

他们会越来越没有自信,不敢表达,不敢反驳,受到委屈也默默忍受。

李玫瑾教授曾说:“毁掉孩子一生的杀手不是游戏,也不是贪玩,而是父母的语言暴力。”

每种性格缺陷,都是由儿童早期经受的某种错误对待造成的。

当听到父母那些伤人的话时,80%的孩子会愤怒反抗。

当他们的愤怒达到顶点时,不是把矛头指向父母,而是会对准自己。

被骂后不说话的孩子都在想什么?

微博高赞回答是:“妈妈又发脾气了,我觉得他们不爱我了。”

被骂后不说话的孩子,只会悄悄把情绪调成静音。

心理学有个名词叫做“超限效应”,指某种刺激过多而且时间持久时,会引起心理的极度不耐烦,从而产生逆反心理的一种现象。

如果总对孩子大吼大叫,这种压力会迫使孩子出现各种应激反应。

最简单直接的反应就是自动屏蔽掉这种“噪音”,把自己封闭起来,避免受到伤害而形成自我保护。

孩子表面不反抗甚至是沉默,但是内心是抗拒的封闭的,哪怕父母是好的出发点,孩子也拒不接受,产生对抗。

闺蜜娟子至今因为小时候的一件事对母亲意见颇深。

在她上小学时,有次她在学校课间玩耍不小心打碎了一块玻璃,老师把家长请到了学校。

刚好那天她妈妈遇到点烦心事,一到学校便控制不住自己的情绪。

不顾人来人往的学生,不管走廊里有多少双频频侧目的眼睛。

“你到底要给我惹多少麻烦?我当初为什么要生你!”

娟子的眼泪一下夺眶而出。虽时隔多年,那句话她至今难忘。

在年纪尚小时,父母的吼骂会让他们恐惧;

可进入青春期,父母的吼骂就会激起他们的反抗。

变成扎在心里的一根刺,变成刺伤彼此的一根针。

即使过去,也总会隐隐作痛,影响一生。

长期被吼骂的孩子,后来都怎么样了?

心理学家做过一组对比试验,跟踪了一个小学几个班的孩子。从他们上小学一直到步入社会。

他们发现,经常被吼骂的孩子,很可能出现这几种性格问题:

做事优柔寡断,不自信; 胆小懦弱,没主见; 缺乏安全感,亲密关系淡薄; 脾气暴躁,冷漠。

都说父母是孩子的榜样,父母怎么做,孩子就会跟着怎么学。

吼孩子,其实也是在告诉孩子如何吼别人,导致孩子很难跟人相处,脾气变得暴躁。

父母经常吼骂孩子,他们就会产生恐惧心理,为了避免父母出现吼骂的行为,他们会不断地讨好父母。

长此以往,孩子就会出现讨好型人格。

所以,经常被父母大吼和从没被大吼的孩子,10年之后,真的不一样。

所以,在吼骂孩子之前,请冷静三秒再发表意见。

毕竟,你骂他,他不会停止爱你,但他会停止爱自己。

—— End ——

作者:小王不慌,樱桃妈。图片来自外网,版权归原作者所有。

查看全文
热门内容